理想を叶えたい方、
当院にお任せください。

- 歯の白さや形にこだわりたい
- 芸能人のような歯になりたい
- 自然な美しい口元になりたい



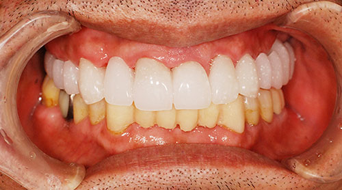
審美治療において、患者さんの理想を追求するのは非常に大切です。セラミック治療は単に歯を白くするだけではありません。歯の色、形までご自身の理想を追求することが可能ですから、芸能人のような真っ白な歯にも、自然に口元に馴染む歯にもなれます。
当院では、患者さんの理想とする歯を提供するために、次の取り組みを行っています。

患者さんが求める「美しさ」を知るために、当院では、各工程で患者さんとのイメージのすり合わせを行っています。

治療精度を高めるためには、患者さんのイメージや希望を明確にすることが大切です。当院では、治療前に模型や過去の症例を手に取りながら、治療のイメージを患者さんと共有し、最適な治療プランを立案します。

審美性が特に重要な前歯の治療はセットアップ模型を使用します。歯の型取りを行い、その型を基に歯の形状や配置のイメージを固めていきます。

最終的な色・形をシミュレーションするために仮歯を使用します。最後の調整を行う工程ですので、患者さんが納得されるまで何度も繰り返します。

患者さんが理想とする美を追求するのと同時に、お口の専門家としての視点からの提案も行っています。患者さんが求める美は言わば「主観的な美」です。
一方、歯科医師から提案するのは、理論に基づいて計算された「客観的な美」です。この2つの美が合わさることで、より一層美しい歯を追求することができます。詳しくご説明します。

笑った時の下唇のアーチと歯並びのアーチを一致させると、口元の美しさをより際立たせることができます。
著者: 山崎長郎 クインテッセンス出版: エステティック クラシフィケーションズ より引用

前歯の幅を「中央切歯:側切歯:犬歯=1.6:1:0.6」という比率で整えることで、より見た目が美しく仕上がります。

正中線とは、顔の真ん中のラインを指します。上顎の前歯の中心線をこの正中線と一致させることで、全体として均整の取れた歯列を実現できます。

口元の魅力を高めるには、「歯肉」の見た目も大切な要素になります。当院では、歯肉の生物学的な幅も考慮したクラウンを提供しています。

ポーセレン・ラミネート・ベニアは、薄いセラミックををまるで付け爪のように歯に接着する治療法です。歯の表面を薄く削るだけですので、歯の神経を除去する必要もなく、身体への負担はほとんどありません。
主に、歯の色調や形状、隙間を修復する際に行う治療です。ご興味のある方は、担当医までご相談ください。
当院では、患者さんが抱えていらっしゃるお口のお悩みや疑問・不安などにお応えする機会を設けております。どんなことでも構いませんので、私たちにお話ししていただけたらと思います。
ご興味がある方は下記からお問い合わせください。