基本に忠実。
だからこそ、再発が防げます。
- 「歯周組織再生療法」で進行と再発を低減
- 「歯周外科治療」で重度の歯周病にもアプローチ

だからこそ、再発が防げます。

日本人の歯を失う原因の第一位は歯周病と言われています。歯周病は、サイレントキラーと呼ばれるほど自覚症状がなく、気が付いた時には重度になっていることも少なくありません。
しかし、基本に忠実に治療すれば、症状の改善、再発を防止することができます。京都駅前パール歯科で行っている歯周病治療についてご紹介します。

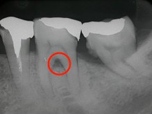
歯周病の進行度合いを調べるために、当院では「CT」を活用します。一般的なレントゲンと異なり、CTは立体的に治療部位を捉えることができるため、歯を支える顎の状態まで詳細に把握することができます。

検査結果を基に、患者さんに最適だと考えられる治療法をご提案します。当院では、進行度に合わせて適切な治療を行うよう努めております。

歯に付着している汚れ(歯垢・歯石)を除去します。当院では、ハンドスケーラーと超音波スケーラーを使い分け、お口の中を清潔にします。それぞれの特徴は次の通りです。

【超音波スケーラー】
広範囲の歯石を短時間で除去できます。

【ハンドスケーラー】
超音波スケーラーでは落としきれない細かい歯石も除去することができます。

歯周病は進行すると顎の骨が溶けてしまいます。重症と診断された場合は、顎の骨が溶け始め、歯がグラグラしているケースが多いです。当院では、こうしたケースに対応するため、歯周組織再生療法を行っています。具体的には、エムドゲインとリグロス(保険適用)です。

エムドゲインは、歯周組織再生療法の一つです。タンパク質の一種で、骨を再生させたい部位に特殊なゲルを塗布します。個人差はありますが、およそ8カ月~1年程度で骨は再生します。


リグロスは、エムドゲインと同様、歯周組織再生療法の一つです。タンパク質の一種である「bFGF」が骨や筋肉の再生を促します。
また、血管新生作用といって、血管を新しく作り出す作用もあるため、歯を支える歯肉や顎の骨などの組織もしっかりと再生させることができます。保険適用で治療できるため、患者さんの負担も少なく済みます。
FOPとは、歯周ポケットの深い部分に溜まった歯石を除去する術式です。フラップ手術とも呼ばれ、専用の器具で、歯周ポケットの奥深くに潜む歯石を取り除きます。
歯周病が進行すると、歯周ポケットは深くなってしまいますが、FOPを行うことで、歯周ポケットは狭くなり、歯石が溜まりにくくなります。


歯の根っこは複数に分かれているのですが、この分かれ目「分岐部」といいます。この分岐部にできる病変、「分岐部病変」を改善する治療法がルートセパレーションです。
分岐部は通常の器具が入らないため、歯を分割して、清掃しやすい状態をつくる治療法です。
当院では、患者さんが抱えていらっしゃるお口のお悩みや疑問・不安などにお応えする機会を設けております。どんなことでも構いませんので、私たちにお話ししていただけたらと思います。
ご興味がある方は下記からお問い合わせください。